• Call Now
  • Book Appointment
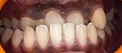
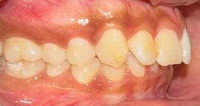
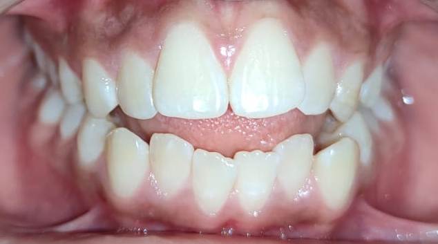
  • Invisible Aligners in Hyderabad

    Removable Clear Aligners for Comfortable Teeth Alignment!

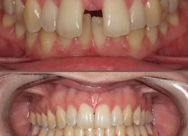
    Crowded teeth, gaps, or teeth shifting after braces? Invisible aligners offer comfortable, removable teeth-straightening with better hygiene, near-invisible appearance, and fewer clinic visits.
    At Smilecare Dental, invisible aligners in Hyderabad are orthodontist-planned: aligner consultation, exam and digital scan, a written treatment plan, custom aligner trays, periodic reviews, and retainers. Our clear aligners Hyderabad treatment is designed to fit life while aligning teeth predictably.

    Aligner Img
    Durability

    Removable

    Aesthetic appeal

    Hygienic

    Comfort

    Custom–Fit

    Bone preservation

    Predictable

    Book an Appointment Today


    7035

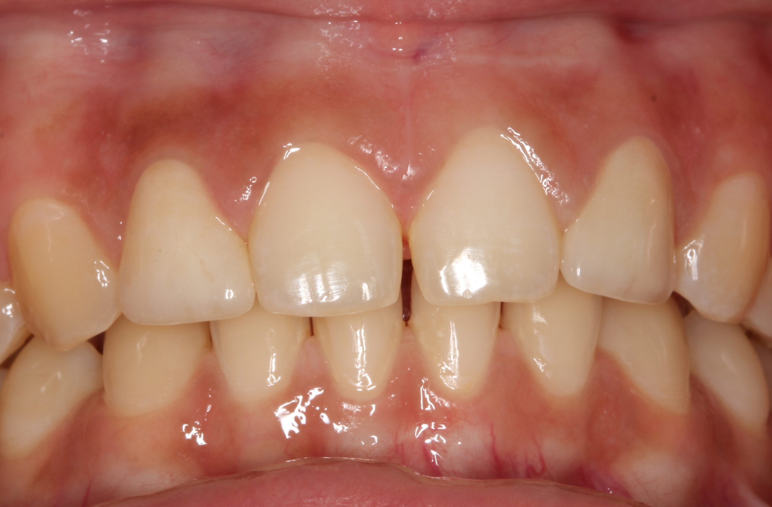
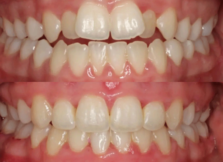
    What Clear Aligners Correct?

    Crowded teeth trap food and complicate oral hygiene, causing plaque and bad breath. Gaps can distort speech. Bite misalignment
    strains the jaw and triggers headaches, common orthodontic issues that invisible aligners in Hyderabad can correct.

    Crowding Image Gaps Image Rotations Image Overbite Image Underbite Image Crossbite Image Open Bite Image Overjet Image Midline Shift Image Relapse Image Protrusion Image Deep Bite Image

    Teeth overlap due to limited space in the jaw.

    Visible spaces between teeth affecting smile alignment and appearance.

    Teeth turned out of position instead of facing forward properly.

    Upper front teeth excessively overlap the lower front teeth.

    Lower front teeth extend beyond the upper front teeth.

    Upper teeth sit inside lower teeth when biting down.

    Front teeth do not touch when the mouth is closed.

    Upper front teeth project significantly ahead of lower teeth.

    Center of upper and lower teeth do not align properly.

    Teeth gradually move back after previous orthodontic treatment.

    Front teeth stick outward beyond normal alignment.

    Teeth lean forward, backward, or sideways abnormally.

    How Your Invisalign in Hyderabad Visit Proceeds?

    At Smilecare Dental, our expert orthodontists guide a step-by-step plan for invisible aligners in Hyderabad. We use iTero scan and 3D imaging for precise fit, smooth progress and predictable results.

    01

    Goals review, digital scan/iTero, simulation/before & after, documented treatment plan, aligner cost/price & payment plans.

    02

    Aligner fitting, IPR if needed, first aligner tray, wear schedule, comfort tips.

    03

    Remote checks, minimal visits, flexible appointments, photo aligner monitoring, progress updates.

    04

    Final checks, retainers, orthodontic-follow up, home aligner care.

    Invisalign in Hyderabad Options and
    Who They Treat !

    Our expert and experienced orthodontists in Hyderabad match the invisalign program to your age, growth stage, and
    case complexity. Adult, teen and child-specific invisalign in Hyderabad options explained below.

    Why Choose Smilecare for Invisible Aligners
    in Hyderabad?

    Smilecare Dental, with clinics in Kothapet and Champapet, is highly rated on Google for dental services in Hyderabad.

    Icon

    24+ Years Experience

    Icon

    Invisalign-led ortho care

    Icon

    Digital Imaging

    Icon

    ClinCheck 3D Treatment

    Icon

    5-Star Ratings

    Icon

    SmartTrack Aligner Material Control

    Icon

    SmartForce Attachments

    Icon

    Precision Cuts/IPR When Indicated

    Icon

    Invisalign Teen Wear-Time Indicators

    Icon

    Invisalign First For Growing Children

    Looking for the best Invisible Aligners services in Hyderabad?

    Your search ends here with Smilecare Dental.

    Discover Dental Insights

    Blog Image

    Lorem Ipsum is simply dummy text of
    the printing industry.

    Lorem Ipsum is simply dummy text of the printing and typesetting industry. Lorem Ipsum... Read more

    10 Oct, 2024

    Category

    Admin Smith

    Blog Image

    Lorem Ipsum is simply dummy text of
    the printing industry.

    Lorem Ipsum is simply dummy text of the printing and typesetting industry. Lorem Ipsum...

    10 Oct, 2024

    Blog Image

    Lorem Ipsum is simply dummy text of
    the printing industry.

    Lorem Ipsum is simply dummy text of the printing and typesetting industry. Lorem Ipsum...

    10 Oct, 2024

    Blog Image

    Lorem Ipsum is simply dummy text of
    the printing industry.

    Lorem Ipsum is simply dummy text of the printing and typesetting industry. Lorem Ipsum...

    10 Oct, 2024

    Patients' Testimony

    Frequently Asked Questions

    Often yes for mild–moderate crowding, teeth gaps, rotations, and some bite issues. Our Hyderabad orthodontist confirms this during an aligner consultation with a digital scan. We then map an orthodontic treatment plan for precise teeth alignment using invisible aligners in Hyderabad.

    Your aligner cost/aligner price is finalized after records and a digital scan. It depends on case complexity, aligner brand/tier, total trays or refinements, treatment duration, and the retainer plan. We share a written estimate with payment plans for clear aligners Hyderabad.

    Simple cases may finish in months; complex movements take longer. We set your timeline up front and track progress with aligner monitoring. If you are comparing Invisalign in Hyderabad, we show milestones at your first visit.

    Expect minimal discomfort, light pressure for 1–3 days after a new tray. A mild lisp can appear briefly and usually fades quickly. We share tips to improve aligner comfort from day one.

    Yes. Retainers protect your aligner results and keep teeth stable. You’ll follow a wear schedule with orthodontic follow-up and aligner maintenance guidance to ensure lasting results.