• Call Now
  • Book Appointment
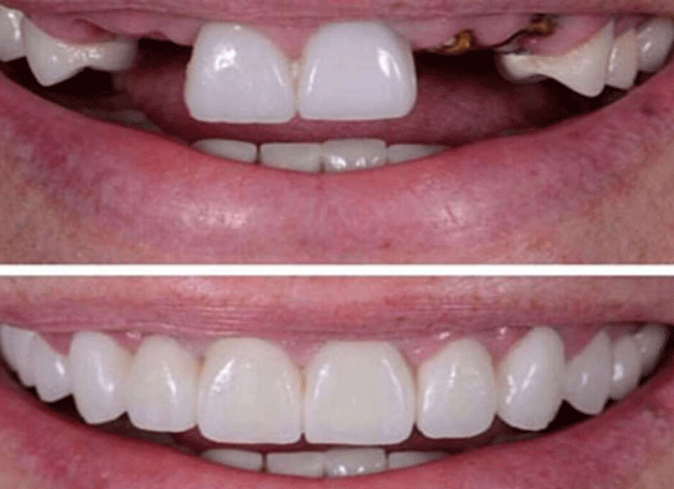
  • Full Mouth Rehabilitation in Hyderabad

    Rebuild Bite, Restore Oral Health & Transform Your Smile

    If you’re dealing with worn, cracked or missing teeth, unstable bite, or long-standing gum problems, a carefully planned Full Mouth Rehabilitation (also called Full Mouth Reconstruction) can restore functionality, esthetics, and comfort.

    At Smilecare Dental, an established dental clinic in Hyderabad, your FMR case is led by an experienced dentist in Hyderabad with a coordinated specialist team and technology-driven planning.

    Full Mouth Img
    Durability

    Precision-
    Guided

    Aesthetic appeal

    Lasting
    Stability

    Comfort

    Comfort-
    Focused

    Bone preservation

    Reliable
    Results

    Book an Appointment Today


    7956

    Who Needs Full Mouth Rehabilitation?

    Anyone struggling with multiple failing teeth, bite problems, or long-standing gum/bone issues can benefit from
    personalised full mouth rehabilitation in Hyderabad.

    Cracked Teeth Image Missing Teeth Image Dental Trauma Image Failing Old Oral Work Image Recurring Tooth Decay Image Gum Disease Image Bite Collapse Image Poor Occlusion Image Jaw Alignment Issues Image Difficulty Chewing Image Unclear Speech Image

    Fractured tooth structure causing pain or sensitivity.

    One or more lost teeth affecting function and appearance.

    Injury to teeth or gums from accidents or impact.

    Worn, loose, or damaged previous dental restorations.

    Repeated cavities around fillings or treated teeth.

    Infection of gums leading to bleeding and bone loss.

    Loss of proper bite height due to missing or worn teeth.

    Improper alignment of upper and lower teeth while biting.

    Misaligned jaws causing discomfort or uneven bite pressure.

    Trouble biting or grinding food comfortably.

    Speech changes caused by missing or misaligned teeth.

    Full Mouth Rehabilitation Process - Step By Step

    Planned with digital dentistry like intra-oral scans and digital imaging, CT scan/X-ray for nerve/sinus safety and bone mapping, full mouth rehabilitation in Hyderabad process is conducted by expert prosthodontics, endodontics, periodontal care and orthodontics.

    01

    History & Photos, Digital Imaging with 3D Scanning, CT Scan/X-Ray, Bite Analysis.

    02

    Custom Treatment Plan, Phased Timelines, Mock-Up to Test New Bite/Smile with Digital Workflows.

    03

    Foundational Care, Periodontal Therapy, Root Canal/Endodontics, Bite Adjustment.

    04

    Reconstruction with Dental Implants, Crowns/Bridges/Veneers, Final Bite Checks, Polishing, Structured Maintenance.

    What’s Included in FMR and
    Materials
    Used !

    Full mouth rehabilitation in Hyderabad helps with confident chewing, clearer speech, a stable bite with less joint pain,
    natural looking and lasting smile. Here’s the details on what is included in the
    process and the types of material used.

    Why Choose Smilecare for
    Full Mouth Rehabilitation

    Combining expert teams and digital planning for predictable outcomes, Full mouth rehabilitation in Hyderabad by
    Smilecare Dental offers an affordable oral healthcare solution with same-day consultation.

    Icon

    24+ Years’ Experience

    Icon

    5-Star Ratings

    Icon

    Lead Prosthodontists

    Icon

    Multidisciplinary Team

    Icon

    CBCT, 3D Scans & OPG/RVG Imaging

    Icon

    Digital Smile Design & Lab Precision

    Icon

    Implant-Safe Titanium Implants

    Icon

    Bite & Occlusion Rehab Expertise

    Icon

    LANAP Lasers & Tissue Preservation

    Icon

    Infection Control & Hygiene Monitoring

    Looking for the best Full Mouth Rehabilitation services in Hyderabad?

    Your search ends here with Smilecare Dental.

    Discover Dental Insights

    Blog Image

    Lorem Ipsum is simply dummy text of
    the printing industry.

    Lorem Ipsum is simply dummy text of the printing and typesetting industry. Lorem Ipsum... Read more

    10 Oct, 2024

    Category

    Admin Smith

    Blog Image

    Lorem Ipsum is simply dummy text of
    the printing industry.

    Lorem Ipsum is simply dummy text of the printing and typesetting industry. Lorem Ipsum...

    10 Oct, 2024

    Blog Image

    Lorem Ipsum is simply dummy text of
    the printing industry.

    Lorem Ipsum is simply dummy text of the printing and typesetting industry. Lorem Ipsum...

    10 Oct, 2024

    Blog Image

    Lorem Ipsum is simply dummy text of
    the printing industry.

    Lorem Ipsum is simply dummy text of the printing and typesetting industry. Lorem Ipsum...

    10 Oct, 2024

    Patients' Testimony

    Frequently Asked Questions

    Full Mouth Rehabilitation (FMR) is a medical–functional rebuild of the bite, gums, and teeth using combined treatments (like periodontal therapy, root canals, crowns, or implants) to restore chewing, speech, and jaw harmony. A smile makeover focuses mainly on aesthetics — shape, colour, and alignment — while FMR prioritizes both function and oral health.

    Not everyone requires implants. Many full mouth rehabilitation cases are successfully completed using crowns, bridges, and veneers on existing teeth. Implants are recommended only when teeth are missing, severely damaged, or when stronger support is needed for long-term stability. Your Hyderabad dentist will determine the best approach after digital scans and bite analysis.

    The timeline varies by case — usually 6–12 weeks for non-surgical procedures and 3–9 months if implants, bone grafting, or orthodontic phases are included. Duration depends on healing intervals, lab work, and how many arches or teeth are being restored.

    Most FMR treatment plans require around 4–10 visits. Key sessions — such as diagnostics, mock-ups, tooth preparation, implant placement, and final fitting — last 60–120 minutes. Shorter review or adjustment appointments take 20–45 minutes. For out-of-city patients, appointments can be clustered at our dental clinic in Hyderabad for convenience.