• Call Now
  • Book Appointment
  • 25

    +

    Years of Experience

    NABH

    NABH

    10

    k+

    Dental Implants

    50

    k+

    Satisfied Patients

    Dr V. Vijaya

    MDS-Periodontist & Implantologist
    Associate fellow-AAID,USA.
    American Academy Of Implant Dentistry

    About Smilecare Dental

    For 25 years, Smilecare Dental Clinic has been a trusted name in dental care across Hyderabad. What began as a commitment to gentle, patient-focused dentistry has grown into a practice that thousands of families rely on for everything from routine cleanings to advanced treatments.

    Our Kothapet branch holds NABH accreditation — a national quality certification that means our clinic meets strict standards in patient safety, hygiene, infection control, and care protocols. In simple terms, NABH accreditation gives you an independent assurance that you’re in safe, accountable hands.

    We operate two branches — one in Kothapet and one in Champapet — both equipped with modern technology and staffed by an experienced, caring team. At Smilecare, we believe every patient deserves to understand their treatment, feel at ease during their visit, and leave better than they came. That’s not a policy — it’s how we’ve always worked.


    2

    Number of
    clinics

    25

    +

    Years of
    Experience

    50

    K +

    Patients
    Treated

    Meet Our Doctors

     Chief Dentist at Kothapet

     Chief Dentist at Champapet

     Team at Kothapet

    gallery-icon Our Dental Services

    Implants, Aligners & More Under One Roof

    Our best dentist in Hyderabad offers a range of dental treatments at Kothapet and Champapet clinics.

    Why Choose Smilecare Dental Clinic

    Icon

    25 Years of Clinical
    Experience in Hyderabad

    Two and a half decades means we've seen — and treated — nearly every dental situation. Our experience helps us make confident, informed decisions that are right for you.
    Icon

    A Calm, Anxiety-
    Friendly Environment

    Dental anxiety is real, and we take it seriously. Our team is trained to work gently and explain everything clearly, so most patients feel far more at ease than they expected.
    Icon

    Modern Equipment
    for Better Results

    We use current dental technology — including digital X-rays, laser systems, and digital smile design — so your diagnosis is accurate and your treatment is as comfortable as possible.
    Icon

    Strict Sterilisation and
    Hygiene Standards

    Every instrument is sterilised, every surface disinfected, and every protocol followed. You can trust that we take infection control as seriously as your treatment itself.
    Icon

    An Experienced,
    Caring Team

    Our dentists bring both clinical skill and genuine warmth to every consultation. We see patients as individuals, not appointments.
    Icon

    Two Convenient
    Branch Locations

    Our dentists combine clinical expertise with genuine warmth in every consultation. We treat every patient with the same dignity, compassion, and high-quality care we would want for ourselves and our own family.
    Icon

    NABH
    Accreditation

    NABH accreditation is awarded through an independent audit of safety, hygiene, and clinical standards—not self-declared. We are committed to maintaining these high standards and have proudly sustained this recognition.
    Icon

    Personalised
    Treatment

    Our Kothapet and Champapet branches are designed so that patients across Hyderabad can access quality dental care.

    Our Two Branches
    Kothapet and Champapet

    Patients who live in areas like LB Nagar, Dilsukhnagar, and Nagole regularly visit our Kothapet branch — both are accessible and well-connected. Patients from areas around Champapet are equally welcome at our Champapet branch, which is conveniently located for families in that part of East Hyderabad. Whichever location you choose, you’ll receive the same standard of care, the same gentle approach, and the same commitment to your dental health that Smilecare has been known for over 25 years.

    Clinic Hours

    Mon to Sat: 10 AM to 9 PM
    Sun 10 AM to 1 PM

    Clinic Hours

    Mon to Sat: 10 AM to 9 PM
    Sun 10 AM to 1 PM

    Our Two Branches
    Kothapet and Champapet

    Patients who live in areas like LB Nagar, Dilsukhnagar, and Nagole regularly visit our Kothapet branch — both are accessible and well-connected. Patients from areas around Champapet are equally welcome at our Champapet branch, which is conveniently located for families in that part of East Hyderabad. Whichever location you choose, you’ll receive the same standard of care, the same gentle approach, and the same commitment to your dental health that Smilecare has been known for over 25 years.

    Clinic Hours

    Mon to Sat: 10 AM to 9 PM
    Sun 10 AM to 1 PM

    Clinic Hours

    Mon to Sat: 10 AM to 9 PM
    Sun 10 AM to 1 PM

    Your Experience at Smilecare

    We know that visiting a dentist isn’t something most people look forward to. That’s why we’ve built our practice around making the experience as comfortable and transparent as possible.

    From the moment you walk in, our team ensures you feel welcome and informed — not rushed or overwhelmed.

    We explain treatment options in plain language, discuss costs openly, and respect your time.

    A Dental Home for Your Whole Family

    Smilecare is designed to be the dental clinic your entire family can rely on — from your child’s very first visit to dental care in your senior years.

    For Children

    We make first visits gentle and unhurried. Our focus is on prevention — fluoride treatments, sealants, and cavity checks — alongside guiding habits like brushing technique and dietary choices that protect teeth for life.

    For Adults

    Whether you’re interested in cosmetic improvements, need restorative work, or are looking into orthodontic treatment, we offer a comprehensive range of services for working adults who want effective care that fits into a busy life.

    For Senior

    As dental needs evolve with age, so does our approach. We provide dentures, implants, and full mouth rehabilitation for senior patients, with a focus on comfort, function, and long-term quality of life.

    Clinic Photos

    Clinic Photos

    Happy patients sharing their dental care journey

    Smilecare Dental Hospital - Best Dental Clinic in kothapet, tooth aligners in kothapet

    4.8 ★★★★★

    Based on 672 reviews

    powered by G o o g l e

    Review us on G

    Hear From Our Patients

    Discover Dental Insights

    Blog Image

    Lorem Ipsum is simply dummy text of
    the printing industry.

    Lorem Ipsum is simply dummy text of the printing and typesetting industry. Lorem Ipsum... Read more

    10 Oct, 2024

    Category

    Admin Smith

    Blog Image

    Lorem Ipsum is simply dummy text of
    the printing industry.

    Lorem Ipsum is simply dummy text of the printing and typesetting industry. Lorem Ipsum...

    10 Oct, 2024

    Blog Image

    Lorem Ipsum is simply dummy text of
    the printing industry.

    Lorem Ipsum is simply dummy text of the printing and typesetting industry. Lorem Ipsum...

    10 Oct, 2024

    Blog Image

    Lorem Ipsum is simply dummy text of
    the printing industry.

    Lorem Ipsum is simply dummy text of the printing and typesetting industry. Lorem Ipsum...

    10 Oct, 2024

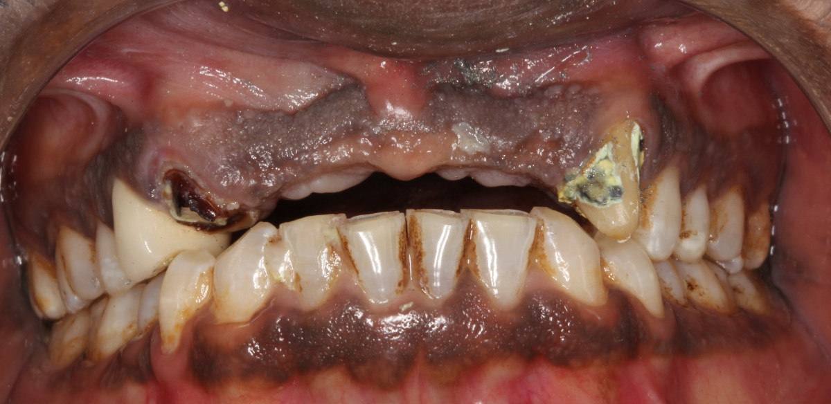
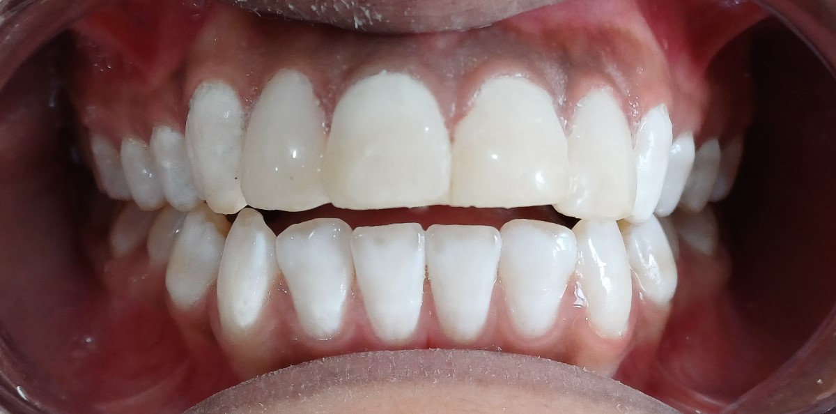
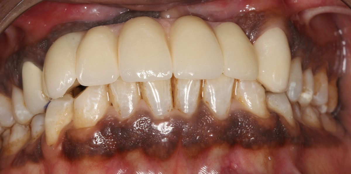
    Before And After

    Before Image Before
    After Image After
    Before Image Before
    After Image After
    Before Image Before
    After Image After

    Book an Appointment Today


    7488

    Quick answers for a brighter, healthier smile

    For most people, a dental check-up every six months is a good habit. Some patients with ongoing gum concerns or a higher risk of cavities may benefit from more frequent visits. Your dentist at Smilecare will advise the schedule that makes the most sense for your specific dental health.

    Root canal treatment has an unfair reputation. With modern anaesthesia and techniques, most patients find the procedure far more comfortable than they expected. Mild soreness after the procedure is normal and typically settles within a few days. Our team will explain what to expect before, during, and after your treatment.

    Implant costs vary depending on the brand, the number of implants required, and your individual case. At Smile Care, we provide a clear cost estimate after a proper examination — so there are no surprises. We encourage you to consult our team for a personalised assessment before making any decisions.

    Results typically last anywhere from several months to over a year, depending on your diet, oral hygiene routine, and lifestyle habits like tea, coffee, or tobacco use. Your dentist can advise on the best maintenance steps to help your results last longer.

    Most dental professionals recommend a child's first visit around the time their first tooth appears, or by their first birthday at the latest. Early visits help your child get comfortable with the dental environment and allow us to monitor development, prevent cavities, and guide good habits from the start.