• Call Now
  • Book Appointment
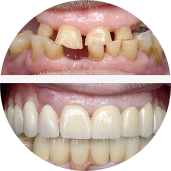
  • Cosmetic Dentistry in Hyderabad

    Smile Transformation. Confidence Starts Here!

    Are gaps, chips, discoloration, or misalignment preventing your best smile? At Smilecare Dental, the best cosmetic dental clinic in Hyderabad, we specialise in crafting beautiful, natural-looking smiles. Our expert team provides solutions from Dental Veneers and Teeth Whitening to comprehensive Smile Makeovers and Smile Correction.
    We begin with a thorough Smile Assessment using digital imaging to design a result that perfectly blends ideal aesthetics with optimal oral health.

    Cosmetic Dentistry Img
    Durability

    Aesthetics

    Aesthetic appeal

    Confidence

    Comfort

    Precision

    Bone preservation

    Function

    Book an Appointment Today


    9664

    What Cosmetic Dentistry Services
    Include !

    Cosmetic dentistry at Smilecare Dental, the cosmetic dental clinic Hyderabad, covers the full range of treatments
    focused on aesthetics, correction, and lasting smile enhancement. Expect a clear, written plan
    that prioritises artistry and clinical excellence.

    Smile Transformation Image Full Mouth Rehabilitation Image Porcelain & Composite Veneers Image Professional Teeth Whitening Image Laser Technology Image Invisalign/Braces Image Gum Contouring & Reshaping Image Composite Bonding Image Cosmetic Restoration Image

    Comprehensive aesthetic enhancement to improve smile appearance and confidence.

    Complete restoration of teeth, bite, and oral function.

    Thin shells placed on teeth to improve shape and color.

    Clinically supervised treatment to safely brighten stained or discolored teeth.

    Advanced laser tools for precise, minimally invasive dental procedures.

    Orthodontic treatments to straighten teeth and correct alignment issues.

    Procedure to refine uneven gum lines for balanced aesthetics.

    Tooth-colored material used to repair chips, gaps, or cracks.

    Aesthetic dental treatments restoring both appearance and function.

    How Your Cosmetic
    Procedure
    Proceeds

    Our cosmetic dentists at Smilecare Dental, the best cosmetic dental clinic in Hyderabad, outlines the entire cosmetic dentistry and dental veneers in Hyderabad process, using advanced technology and focusing on your comfort. You'll have a visualized plan before any treatment begins, ensuring a predictable aesthetic outcome.

    01

    Consultation Goals Review, Medical History, Digital Imaging, Radiographs.

    02

    Digital Design & Planning Advanced Dental Tech, Option Discussion, Timelines and Cost.

    03

    Treatment Procedure Local Anaesthesia, Painless Experience.

    04

    Review & Aftercare Final Bite Check, Clear Aftercare, Long-Term Oral Hygiene.

    When to Book a Cosmetic Dentistry
    Consultation

    If any aesthetic concern is affecting your smile confidence, it's time to book your cosmetic dental consultation.
    Early action leads to efficient and predictable smile transformation.

    Why Choose Smilecare for Cosmetic
    Dentistry

    Smilecare Dental, at Kothapet and Champaet, is recognised as a trusted clinic and the best cosmetic dental clinic
    in Hyderabad, with consistently high ratings for our aesthetic services.

    Icon

    24+ Years Experience

    Icon

    Aesthetic Dentist-Led
    Treatment

    Icon

    Digital Imaging

    Icon

    3D Planning

    Icon

    Cosmetic Restoration

    Icon

    Cosmetic Restoration

    Icon

    Written Care Plan

    Icon

    Infection Control

    Icon

    Disposable Barriers

    Icon

    Appointment Support

    Looking for the best Cosmetic Dentistry services in Hyderabad?

    Your search ends here with Smilecare Dental.

    Discover Dental Insights

    Blog Image

    Lorem Ipsum is simply dummy text of
    the printing industry.

    Lorem Ipsum is simply dummy text of the printing and typesetting industry. Lorem Ipsum... Read more

    10 Oct, 2024

    Category

    Admin Smith

    Blog Image

    Lorem Ipsum is simply dummy text of
    the printing industry.

    Lorem Ipsum is simply dummy text of the printing and typesetting industry. Lorem Ipsum...

    10 Oct, 2024

    Blog Image

    Lorem Ipsum is simply dummy text of
    the printing industry.

    Lorem Ipsum is simply dummy text of the printing and typesetting industry. Lorem Ipsum...

    10 Oct, 2024

    Blog Image

    Lorem Ipsum is simply dummy text of
    the printing industry.

    Lorem Ipsum is simply dummy text of the printing and typesetting industry. Lorem Ipsum...

    10 Oct, 2024

    Patients' Testimony

    Frequently Asked Questions

    Yes. When performed by a licensed dentist using modern techniques, cosmetic procedures like veneers and whitening are very safe and predictable.

    The timeline varies widely, from a single appointment for bonding to several weeks for veneers or months for aligners. We provide a precise timeline after your initial smile consultation.

    Veneers are highly durable and long-lasting (often 10–15+ years). While not technically permanent, they offer a durable, long-term aesthetic dentistry solution.

    Teeth whitening brightens your existing enamel to improve tooth color. Veneers cover the entire tooth front, changing its color, shape, and position for a dramatic aesthetic change.

    We offer competitive and budget-friendly pricing. You will receive a full estimate, and our clinic provides assistance with payment options, including EMI plans.